Профессор Цви РамНейрохирург
Израиль не зря является одной из передовых стран, куда едут лечиться люди со всего мира. Пациенты с тяжелыми и опасными заболеваниями полностью доверяют свое здоровье и свою жизнь израильским медикам. Действительно, в ведущих клиниках Израиля лечение организовано на высшем уровне. Одним из заболеваний, поддающимся успешному лечению в клинике Ассута, является менингиома.
Опытные врачи-диагносты отделения нейрохирургии проводят оперативную диагностику менингиомы в кратчайшие сроки. Всего за 3-4 дня пациент проходит все необходимые инструментальные и лабораторные исследования, а также узнает о предстоящей программе лечения. Стоит отметить, что не все диагнозы, с которыми пациенты приезжают в Израиль из стран СНГ, являются верными – около 43% диагнозов израильские специалисты не подтверждают!
В процессе выбора лечения участвуют специалисты нескольких профилей. Врачи подбирают только самые эффективные и инновационные методы лечения менингиомы.
Отзывы бывших пациентов клиники, которые уже попрощались с болезнью благодаря израильским специалистам, сообщают не только о высоком профессионализме врачей, но и о прекрасном и чутком отношении со стороны медицинского персонала к каждому больному.
Для израильских специалистов важными моментами являются не только быстрая диагностика и качественное лечение, но и период реабилитации. После прохождения лечения пациент еще некоторое время находится в клинике под присмотром врачей и постепенно восстанавливается.
Для максимального комфорта иностранных пациентов медицинский персонал выделяет для каждого сопровождение в лице личного переводчика.
Менингиома головного мозга: лечение в Израиле с помощью эффективных методов
Для лечения менингиомы израильские специалисты применяют новые методы, при помощи которых уже удалось вылечить большое количество пациентов с таким же диагнозом.
- Радиохирургия. Врачи используют источник стереотаксического излучения для уничтожения опухоли. Данный метод проводится сеансами, примерное количество сеансов – пять, шесть. Методика активно используется в случаях, когда менингиома не достигла больших размеров и располагается близко к жизненно важным структурам мозга.
- Удаление менингиомы. Если опухоль достигла больших размеров, в клинике Ассута ее удаляют хирургическим путем. Нейрохирурги Израиля имеют огромный опыт работы, поэтому удаление менингиомы головного мозга проводится очень аккуратно и не имеет негативных последствий для пациента. Применяя новейшие оперативные способы, такие как awake craniotomy, врачи способны контролировать свое вмешательство в жизненно важные участки мозга, не нарушая их функциональность.
- Комплексное лечение менингиомы. Когда удаление менингиомы полностью не представляется возможным, нейрохирурги клиники Ассута проводят частичное иссечение новообразования. После оперативного вмешательства необходимо удалить оставшиеся раковые клетки. Для этих целей врачи применяют сеанс радиохирургии.
- Химиотерапия. При диагнозе менингиома лечение химическими препаратами не является эффективным. В клинике Ассута специалисты назначают химиотерапию пациентам в том случае, если патология приобрела злокачественный характер.
- Лучевая терапия. Так же, как и химиотерапия, данный метод лечения применяется в Израиле при менингиоме крайне редко.
- Эндоскопические операции
- Стереотаксическая радиохирургия
Диагностика менингиомы в Израиле: быстро и надежно
Израильские специалисты прекрасно знают, насколько важно провести качественную диагностику, ведь от правильно поставленного диагноза зависит и эффективность лечения. В клинике Ассута врачи-диагносты имеют в распоряжении новейшую аппаратуру, при помощи которой все диагностические процедуры выполняются быстрее и точнее.
Первый день диагностики менингиомы
Первый день прибытия пациента в клинику характеризуется консультацией специалиста. Ведущий онколог клиники осматривает больного, знакомится с его историей болезни, после чего выдает направления на анализы и исследования.
Второй день диагностики менингиомы
Уже на второй день пребывания в клинике Ассута в Израиле пациент проходит все необходимые исследования (инструментальные и лабораторные).
- Анализы крови.
- Электроэнцефалография – процедура позволяет оценить функциональное состояние головного мозга; осуществляется всего за полчаса.
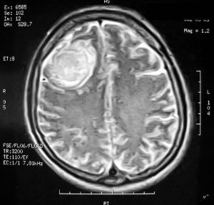
- Компьютерная томография, магнитно-резонансная томография – исследования позволяют узнать о точном расположении менингиомы.
- Биопсия является необходимым диагностическим мероприятием, помогает определить характер менингиомы (доброкачественный или злокачественный).
Третий день диагностики менингиомы
Все врачи израильской клиники Ассута работают слаженно, поэтому и результаты комплексного обследования готовы уже на следующий день. Для их изучения составляется экспертная группа, в которую входят ведущие специалисты клиники разных профилей. Врачи в присутствии пациента изучают результаты лабораторных и инструментальных исследований и определяются с окончательным диагнозом, а также коллегиально выбирают программу лечения, которая станет наиболее эффективной для конкретного пациента.
- Компьютерная томография (КТ)
- Магнитно-Резонансная Томография (МРТ)
Лечение менингиомы в Израиле: цена
Как цена на лечение, так и цена на удаление менингиомы в Израиле значительно отличается от цен, установленных в европейских или американских клиниках. Причем лечение менингиомы в Израиле ничуть не уступает по качеству таковому в Европе или США. Отправляясь на лечение в Израиль в клинику Ассута, пациент экономит от 35 до 50% денежных средств. Предоплаты в Израиле за медицинские услуги не существует. Оплачивается лечение поэтапно, деньги вносятся непосредственно в кассу клиники.
| Вид услуги | Цены |
|---|---|
| Базовый пакет диагностики | от $2100 |
| Безоперационное лечение | от $16000 |
| Операция | от $22000 |
Менингиома: лечение в Израиле с преимуществами
Каждый человек, решивший лечиться за рубежом, ищет клинику с максимальным качеством медицинского обслуживания и с минимальными ценами на лечение. В плане «сочетание цены и качества» прекрасным вариантом для лечения станет Израиль. В клинику Ассута систематически приезжают люди из разных точек мира. Именно в медицинских учреждениях Земли обетованной пациенты получают необходимую достойную помощь в лечении самых опасных болезней.
Так какие же преимущества израильской медицины так привлекают медицинских туристов со всего мира?
- Высокопрофессиональные врачи, виртуозно владеющие новейшими методиками лечения менингиомы. За много лет практики израильские врачи накопили огромный опыт в выявлении и лечении новообразований мозга.
- Ультрасовременное диагностическое и лечебное оборудование, с помощью которого диагностика проводится грамотно и быстро, а лечение качественно.
- Эффективное лечение менингиомы по индивидуальной схеме.
- Уютные палаты, в которых царят чистота и комфорт.
- Вежливое отношение медицинского персонала.
- Демократичные цены на диагностику и лечение менингиомы.
Для специалистов клиники Ассута в приоритете провести диагностику быстро, а лечение качественно. Однако не забывают врачи и о периоде реабилитации. Во время восстановления пациент также находится под неусыпным наблюдением ведущих специалистов клиники. При необходимости каждый пациент может пообщаться с профессиональным психологом, который поддержит морально и вернет веру в лучшее.
Уже многим людям удалось в стенах клиники Ассута избавиться от болезни и навсегда забыть, что такое менингиома.
Менингиома – операция в Израиле: отзывы
Я вылечил менингиому головного мозга в Израиле в клинике Ассута. С первых минут моего пребывания в клинике я понял, что мне помогут! Я не ошибся. Диагностику провели за два дня, лечение назначили тоже быстро (я лично присутствовал на консилиуме врачей, которые коллегиально выбирали программу моего лечения). Сначала мне провели операцию, все было сделано аккуратно и качественно. После операции был сеанс радиохирургии. В результате такого лечения врачам удалось добиться полного уничтожения опухоли. Я вернулся домой здоровым, за что благодарю от всего сердца прекрасных израильских специалистов!
Мне провели удаление менингиомы головного мозга в Израиле. В больницах моего города врачи долго не могли определиться с лечением, а в Израиле все произошло быстро и четко. Нейрохирурги сделали настолько все аккуратно, что после операции я восстановилась достаточно быстро, а болевые ощущения были минимальными. В период реабилитации со мной также находились врачи, а психолог оказал качественную моральную поддержку. Очень рада, что есть такие ответственные, профессиональные врачи, побольше бы таких. Спасибо им!





